
喫煙は体の器官や細胞、遺伝子を傷つけ、がんの他にも糖尿病などの生活習慣病、さらに歯周病など様々な病気の引き金になります。

口の中の病気にも要注意
喫煙していると歯周病菌が増えやすくなることがわかっています。
歯を失うだけでなく、全身の健康にも影響するのが歯周病の怖いところ。
「ヤニで歯が黄色くなる」「ひどい口臭がする」など、美容やエチケット面でもマイナスです。
お口の健康のためにも、早く禁煙したいものです。

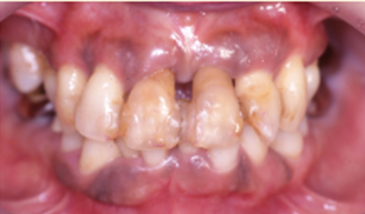
喫煙によって歯周病にかかってしまった50代女性(写真:日本歯周病学会提供)

禁煙で手にする からだに優しい未来
禁煙をスタートすると、時間の経過とともに嬉しい変化が次々と表れます。

思い立ったが吉日 あなたの卒煙を応援しています
「禁煙したい」気持ちがあるだけで、禁煙成功率は2.9倍に上がります。

禁煙に成功した人のチャレンジ回数は、男性で平均4.6回、女性で平均3.6回。
過去に失敗した方も、何度でもチャレンジできます。
さあ、あなたも今日から禁煙成功者の仲間入りを目指しませんか。
